Enige tijd geleden geconstateerd dat Pippa niet lekker loopt, ze lijkt me lichtelijk mank te lopen op rechts. In verband hiermee meerdere keren de dierenarts bezocht die oordeelde dat het waarschijnlijk om een lichte Patella Luxatie (knieschijf schiet er uit) ging. Vanwege de groei was er bij hem de hoop dat zich vanzelf wel weer zou herstellen: de baan waarin de knieschijf ligt, wordt namelijk tijdens de groei uitgehold door de wrijving van de knieschijf zelf. Als de knieschijf in een goot ligt met opstaande randen, schiet ie er niet meer vanzelf uit is de redenatie.
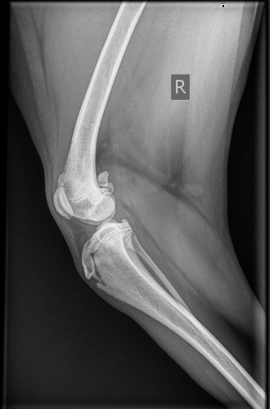
Doordat ik een second opinion wilde, ben ik uitgekomen bij een orthopedisch chirurg in Woerden. Daar ter plekke werd beoordeeld dat dit echt niet vanzelf goed zou komen, dat het om een behoorlijke patella luxatie gaat en dat een operatie noodzakelijk is om haar als actieve hond een goed leven te geven. Ook gaat de knieschijf er naar buiten toe uit en dat is ronduit uitzonderlijk te noemen. Zij wilden de operatie echter het liefst pas uitvoeren als de groeischijven van Pippa helemaal dicht waren. Op die manier is het maar 1 operatie in plaats van 2, want door de groei moet je immers anders nog een keer. (De foto hieronder is van november jl. waarin je dus nog open groeischijven kunt zien.) Al maanden loopt Pippa dus zoveel mogelijk rechte lijnen, speelt ze zo min mogelijk vrij met andere honden, loopt ze absoluut geen trappen en is springen eigenlijk niet de bedoeling (maar bij deze wilde gewoon niet tegen te houden). We moeten de slijtage aan de knie daarmee zoveel mogelijk beperken.
Nu gekozen voor een operatie op 23 januari a.s. in Woerden: dit in verband met de kennis en ervaring en de geruststelling die ze mij geboden hebben. Meelopen in de sport is hoogstwaarschijnlijk over en uit maar jachttraining en lange wandelingen zal ze volgens de chirurg, als alles goed gaat, gewoon kunnen. Het belang van mijn hond staat altijd voorop; we gaan dus investeren in een operatie.
NB: Patella Luxatie komt bij een Vizsla hoogst zelden voor volgens de orthopedisch chirurg. Het is volgens zijn zeggen een relatief jong en sterk ras zonder enge erfelijke afwijkingen. Hij heeft ze zelf in al die jaren als chirurg ook nog nooit op de operatietafel gehad. Dat Pippa dit heeft, is dus naar alle waarschijnlijkheid gewoon te wijten aan pure domme pech. Het is zoals het is...

Plaats een reactie